ZOOを使用した治療方法

どうやって使うの?

では、ZOOを用いた一般的なレジン充填の方法をご紹介致します。

画像2008-02-21 15:59:48

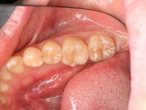
ケース1-1

下顎第一大臼歯遠心に、やや大きめのう蝕を認めます

画像2008-02-21 15:58:14

ケース1-2

インレー除去及び、感染歯質の除去はZOOをセットせずに、アシスタントによる通常のバキュームによる吸引の方がタービンを使用しやすいでしょう。

ただし、様々な理由で通常の形成が困難な場合はZOO装着下でのタービン使用も可能です(各先生方の判断と責任の下で行って下さい)

画像2008-02-21 16:01:40

ケース1-3

形成が終了しましたらZOOを口腔内に装着します

画像2008-02-21 16:03:40

ケース1-4

歯面の無菌化や歯面処理などを行います。
この間、形成した歯面に唾液が触れることはありません。

画像2008-02-21 17:14:16

ケース1-5

ZOOを外してから咬合調整及び研磨を行います